Kieferorthopädie in Moers, Kamp-Lintfort
Schöne, gerade Zähne sind keine Frage des Alters! Zahnfehlstellungen können in fast jeder Lebensphase korrigiert werden. Der große Unterschied zur Kinderbehandlung ist, dass funktionskieferorthopädische Maßnahmen nicht mehr möglich sind – denn das Kieferwachstum ist bei älteren Jugendlichen und Erwachsenen bereits abgeschlossen.
Mit modernen, unauffälligen Zahnspangen und Alignern können wir Ihnen dennoch zu einem schönen Lächeln und einem harmonischen Biss verhelfen – und damit vielleicht sogar zu mehr Lebensqualität und Selbstvertrauen.

Mit dezenter Lieblingsspange zu geraden Zähnen:
- Unauffällige, transparente Zahnschienen
- feste Zahnspangen mit Keramikbrackets
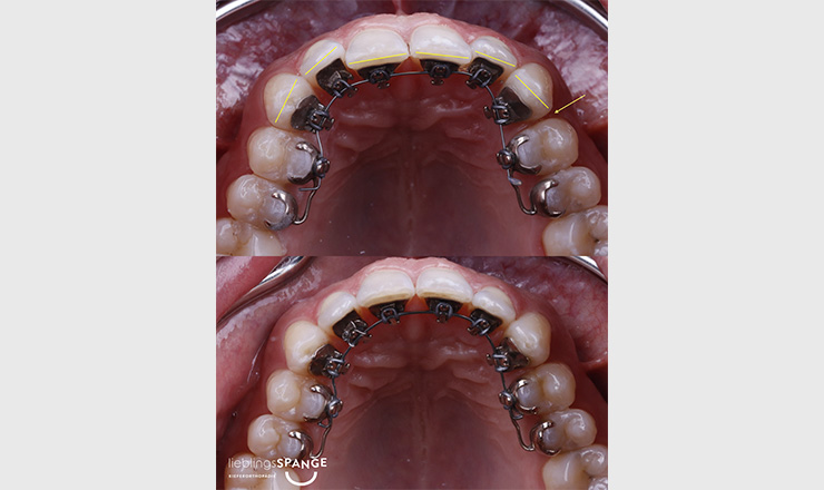
- Lingualtechnik: die innenliegende Zahnspange
Nicht nur die Optik ist entscheidend
Auch wenn der Wunsch nach ästhetischen Verbesserungen der Hauptgrund ist, aus dem sich erwachsene Patienten für eine Zahnkorrektur entscheiden: Nicht außer Acht gelassen werden sollte die Funktion. Eine kieferorthopädische Behandlung kann entscheidend dazu beitragen, Fehlbelastungen der Kiefergelenke zu beheben und für einen harmonischen Zusammenbiss zu sorgen.

Zusammenarbeit mit Zahnarzt und Chirurg
Gegebenenfalls arbeiten wir eng mit Ihrem überweisenden Zahnarzt oder Kieferchirurgen zusammen. Zu unseren Leistungen zählen auch die präprothetische Kieferorthopädie zur Vorbereitung auf Zahnersatz sowie die parodontologische Kieferorthopädie. Ebenfalls bieten wir unsere Zusammenarbeit im Bereich kombinierter kieferorthopädisch-kieferchirurgischer Eingriffe.
Vereinbaren Sie gleich online einen Termin für ein Beratungsgespräch. Wir freuen uns auf Sie.